No better feeling than this

CEREDENTAL

Transforma tu sonrisa con tratamientos dentales avanzados. Combinamos tecnología de última generación, especialistas en cada área y un enfoque personalizado para ofrecerte resultados duraderos, estéticos y funcionales.

Tu transformación comienza aquí

Tu sonrisa, tu mejor presentación aquí en CEREDENTAL.

Paciente 1
Portrait of a happy young casual man standing. Portrait of happy fashionable handsome man in yellow t-shirt and glasses crossing hands and smiling

“Transformar mi sonrisa en CEREDENTAL ha sido una experiencia increíble. ¡Me siento renovado!”

Paciente 2
Headshot closeup portrait middle eastern Israel businesswoman, business lady standing isolated on white background. Happy smiling young successful 20s Arabian or Indian woman in suit, looking camera

“Mi experiencia en CEREDENTAL fue transformadora. Recibí atención excepcional y mi sonrisa brilla como nunca.”

Paciente 3
Portrait of a happy young businesswoman smiling at the camera while standing in an office. Cheerful female entrepreneur working in a creative workplace.

“CEREDENTAL ha cambiado mi perspectiva sobre la salud dental. Me siento más seguro y feliz con mi sonrisa.”

Transformaciones Dentales: Antes y Después

Descubre cómo en CEREDENTAL, transformamos sonrisas con tratamientos dentales avanzados, combinando tecnología de última generación y un enfoque personalizado para resultados duraderos.

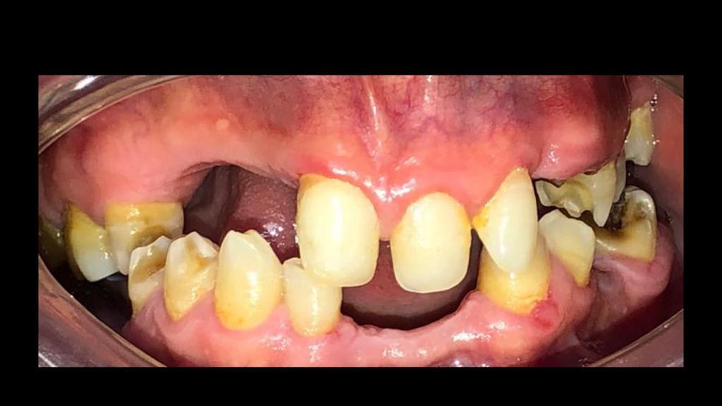
Fase 1: Diagnóstico inicial de rehabilitación oral
Fase 1

Rehabilitación Oral - Diagnóstico

Estado inicial del paciente con ausencia dental severa en maxilar inferior, afectando función masticatoria y estética.

Fase 2: Preparación para implantes dentales
Fase 2

Etapa final con Coronas e Implantes dentales

Etapa de preparación y colocación de implantes dentales como base para la futura restauración protésica.

Fase 3: Diagnóstico inicial maxilar superior
Fase 3

Rehabilitación Oral - Diagnóstico Superior

Estado inicial del paciente con ausencia dental severa en maxilar superior, afectando función masticatoria y estética.

Fase 4: Resultado final de la rehabilitación oral completa
Fase 4

Rehabilitación Completa

Resultado final con prótesis fija e implantes dentales, restaurando función masticatoria, estética y calidad de vida del paciente.

Antes de tratamiento de rehabilitación oral completa - ausencia dental múltiple
Antes

Rehabilitación Oral - Caso Severo

Paciente con ausencia dental múltiple que afectaba gravemente su calidad de vida, función masticatoria, digestión y autoestima.

Después de tratamiento de rehabilitación oral completa
Después

Rehabilitación Oral - Transformación

Restauración completa mediante implantes dentales y prótesis fijas, devolviendo función masticatoria, estética y mejorando significativamente la calidad de vida.

Antes de tratamiento con carillas dentales
Antes

Carillas - Situación Inicial

Estado inicial antes de aplicar nuestro tratamiento con carillas dentales para mejorar la estética.

Después de tratamiento con carillas dentales
Después

Carillas - Resultado

El resultado final de nuestro tratamiento con carillas dentales muestra una sonrisa perfecta y natural.

Antes de tratamiento - diente manchado post-endodoncia
Antes

Blanqueamiento Interno

Paciente con diente manchado post-endodoncia que afectaba significativamente la estética de su sonrisa y su confianza.

Después de tratamiento - corrección de diente manchado
Después

Blanqueamiento Interno - Resultado

Resultado final del Blanqueamiento Interno

Antes de tratamiento con carillas - dientes pequeños
Antes

Carillas - Microdoncia

Paciente con dientes pequeños (microdoncia) y espacios interdentales que afectaban la estética de su sonrisa y su confianza.

Después de tratamiento con carillas - sonrisa completa
Después

Carillas - Transformación Completa

Transformación total con carillas de porcelana que proporcionaron dientes de tamaño ideal, perfectamente alineados y con un color natural más estético.

Testimonios en Video

Descubre lo que nuestros pacientes dicen acerca de la experiencia y los resultados en CEREDENTAL. Sus sonrisas son nuestro mejor testimonio.

Transformando sonrisas

Escucha cómo nuestros tratamientos avanzados han cambiado vidas.

Venciendo el miedo

Este paciente comparte su experiencia y cómo superó sus temores.

Resultados que impresionan

Conoce las historias detrás de las sonrisas radiantes que creamos.

Contáctanos
Nos Encantaría Escuchar de Ti
Completa el Formulario